TumblrViewer.com
Live
Blogs
Pics
Gallery
Twists-of-interests
marina davila
radbong
yoooout
uk actress
boundgangbang
layered sensor
twists and turns
Tumblr@a-bottle-of-tyelenol
22 | she/him | bototyelenol on ao3 |
Twists and Turns!
Tumblr@curvaciouslady
twistsoftime....
Tumblr@copperhead6
Things I find beautiful, mysterious, and or crave.
EXPLORE YOUR INTERESTS
Tumblr@twists-of-interests
Adult only. Under 18 leave. This is my exploration of some of the things that interest me. Feel free to show me your interests.
Black Quart Corner
Tumblr@twists-with-turns
If you don't think I'm nice we can fight...(Warning: Very Slight NSFW Content Rarely, Maybe)
Twist's Covert
Tumblr@twistscovert
♡princess ellie♡
Tumblr@twistsanddelicacies
pink enthusiast, huge gay, huge nerd. (21, she/her) youtube.com/c/eleanormedhurst
twistsandturns-of-fate
Tumblr@twistsandturns-of-fate
twistsofsilver
Tumblr@twistsofsilver
Too old and too grumpy for Tumblr. Too many fandoms to name, but I cry over most of them.Lover of red lipstick, fancy cocktails and other things tha
twistsies
Tumblr@twistsies
More Than Breathing
Tumblr@twistsoffate
twiststreet
Tumblr@twiststreet
it's a tibetan monk thing
Tumblr@twists-and-turns
Sam, he/him. adult. twistsandturns on Ao3.
Twists & Turns
Tumblr@thelabyrinthh-blog
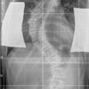
#scoliosis
Tumblr@twiststurnsandcurves
twistshrimppizza
Tumblr@twistshrimppizza
Twist
Tumblr@twistsdiary
Twists and Twizzles
Tumblr@twistsandtwizzles
Fell down a figure skating rabbit hole and can't get out
❛ GO TO THE DE'IL!
Tumblr@twistsfaith-blog
twists and turns
Tumblr@handsyhammerman
(NSFW) Trying to navigate life